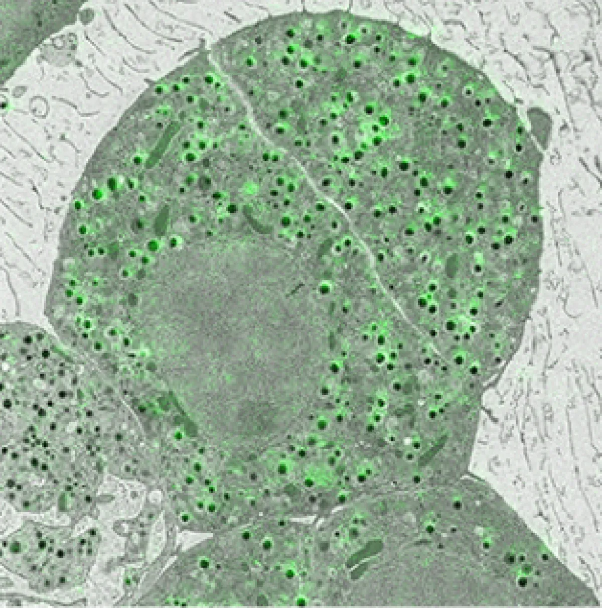
CLEM (correlative light and electron microscopy)

Publication date
Tuesday, 13 Dec 2016
Body
Image

Correlative Light and Electron Microscopy (CLEM) combines the unique capabilities of light and electron microscopy by studying the exact same sample with both modalities sequentially.

During the light microscopical analysis, we can make use of fluorescent markers in live or fixed cells and the subsequent electron microscopical examination of the same sample area provides detailed ultrastructural context of the features of interest. This technique allows us to study rare cellular structures and dynamic processes in cells and often provides unique information.

For this technique, we can cryo-preserve cells that have been genetically tagged (e.g. GFP- tagged proteins) or labeled with fluorescent small molecules and take them through a low temperature process of freeze substitution whereby the fluorescence is preserved.

Ultramicrotomed sections on conductive coverslips can then be viewed on our ZEISS LSM780 confocal microscope and the fluorescence signal within the cells and tissues will be captured. The 'Shuttle and Find' holder can subsequently be transferred into the ZEISS Ultra Plus Scanning Electron Microscope (SEM) and the software recognises the fiducial markers on the 'Shuttle and Find' holder. This way, the exact same features of interest can be viewed by the two modalities, with the fluorescence signal providing the region of interest and the electron microscopical analysis the ultrastructural detail and context of the sample.